Darshan Jariwalla speaks on being Mahatma and sneak peek at Chak De India.
The overseas posters of Life in a... Metro focus on Shilpa while the rest of the cast has been relegated to the background.
The decision to make Justice Rana Bhagwan Das the acting Chief Justice was made public by Law Minister Wasi Jafar.
Asking a coworker out on a date can be tricky. You don't want to be too forward, but you want to show him or her that you're interested. You also don't want to make things awkward at work, but the urge to ask him or her out may be burning you up inside. T...
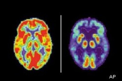
Proteins floating in patients’ spinal fluid can help identify Alzheimer's in preliminary testing, say researchers.
No injuries reported in blaze at Jamnagar plant; production may fall as fire fighters douse flames.